숙련된 노하우를 가진 의료진의 문진 및 진단 장비로 정밀검사를 통해 정확하게 진단 받으실 수 있습니다.

신경외과적으로 허리 통증은
염좌(Sprain), 디스크(Disc Bulging/Herniation), 추간공디스크(Foraminal Disc Herniation), 퇴행성추간판질환(Degenerative Disc Disease), 협착증(Spinal Stenosis), 척추전방전위증(Spondylolisthesis), 척추분리증(Spondylolysis), 골절(Fracture), 후관절낭종(Facet Cyst), 종양(Tumor), 측만증(Scoliosis) 등과 같은 다양한 질환들에 의해 발생할 수 있습니다.
척추뼈의 X-ray 이미지를 이용하여 진행하는 주사치료법

우리들병원 의료진이 국내에서 처음으로 시도한 시술법
컴퓨터 영상유도 척추 미세치료 CT-image Guided Spine Micro-Therapy
척추신경과 그 신경을 둘러싸고 있는 디스크, 인대 또는 관절을 절개하지 않는 비수술적 통증 치료방법입니다.



![내시경 레이저 시술 [등]](/assets/kr/images/medical/waist2_img1.jpg)
![내시경 레이저 시술 [등]](/assets/kr/images/medical/waist2_img2.jpg)
피부와 근육을 절개하여 벌리거나 척추뼈를 잘라내는 방법을 사용하지 않습니다.
젓가락처럼 가느다란 내시경 관(지름 약 6mm 굵기)을 피부에 찌르듯이 삽입해 병소가 있는 뒤쪽 섬유륜 만을 선택적으로 치료합니다.




디스크 조영술로 본 시술 장면 가느다란 내시경 관이 들어가서 레이저로 뒤쪽 섬유륜을 치료하고 있다.
내시경 관은 지름이 6mm에 불과하여 시술 후 흉터가 남지 않는다.
![내시경 레이저 시술 [등]](/assets/kr/images/medical/waist3_img1.jpg)
![내시경 레이저 시술 [등]](/assets/kr/images/medical/waist3_img2.jpg)
보존 요법의 치료 한계를 극복한 ‘원인치료’인 동시에 개방형 척추수술의 위험성을 극복한 ‘최소침습 척추시술’입니다.
상처를 절개하거나 뼈를 자르지 않고, 피부를 통하는 가는 내시경 관(지름 약 6mm 굵기)을 삽입해 내시경 레이저와 고주파열을 이용하여 정상적인 디스크 수핵조직은 그대로 보존한 상태에서 섬유륜 안이나 밖으로 빠져나온 병적인 디스크 파편 조각만 치료합니다.

살과 근육을 벌리지 않고 6mm 굵기의 가는 내시경 관을 삽입한다.
A. 내시경을 통해 레이저로 상한 디스크만 수축시키는 장면
B. 내시경을 통해 고주파열로 상한 섬유륜만 선택적으로 고치는 장면





척추 협착증을 내시경을 이용하여 작은 절개로 고칠 수 있는 내시경 시술입니다.
2개의 미세한 절개를 통해 내시경을 이용하여 협착증을 제거합니다.



| 일반 척추수술 | 양방향 척추내시경수술 | |
|---|---|---|
| 절개범위 | 약 3~5cm | 1cm미만 |
| 근육 손상정도 | 근육, 인대 손상 동반 가능성 있음 | 손상 거의 없음 |
| 마취 | 전신마취 | 전신마취 |
| 입원 | 최소 4일이상 | 1박2일 ~ 2박3일 |
| 출혈량 | 100~200cc | 출혈 거의 없음 |


최소한의 상처만 내어 정상조직을 최대한 보존하는 치료법입니다.
미세 현미경을 이용하여 정밀하게 레이저를 쏘기 때문에 주변의 정상 척추나 신경 경막, 디스크 수핵, 섬유륜, 후종인대를 건드리지 않아 수술 후유증이 발생할 확률이 적습니다.

탈출된 디스크로 인해 신경근이 눌리면 허리나 다리통증을 유발할 수 있다.


우리들병원이 국내 최초로 척추 내시경 레이저 시술을 개발하여 최소침습적 척추시술의 세대교체를 이룬 내시경은 ‘제3세대 내시경 시술법’ 이다.




전신 마취하에 후방 접근하여 5cm 내외로 피부를 절개하여 수술용 현미경하에서 레이저를 포함한 기기를 이용하여 신경을 감압한 후 극돌기 간에 폴리에틸렌으로 만든 특수 인대를 사용하여 불안정증이 있는 척추 극돌기 사이를 견고하게 묶어주는 치료방법입니다.

뼈를 건드리지 않고 출혈이 거의 없고 근육도 다치지 않으며, 최소절개로 척추관절 보존과 신경을 살리는 동시에 척추를 안정시켜 빠른 회복을 기대할 수 있습니다.
인공인대는 시간이 지나면서 자신의 인대로 변하여 본인인대처럼 강해지게 되고, 정상조직을 가능한 보존합니다.




척추 전방 전위증 환자에게 허리의 정상조직인 뼈, 근육, 신경 등에 전혀 손상을 주지 않고 최소한의 절개로 디스크를 먼저 제거하고 뼈의 정렬을 맞춘 후, 인공 뼈를 넣고 핀으로 고정해주는 수술법입니다.
이 치료법은 우리들병원에 의해 세계에 전파되었고 이미 미국과 유럽에서 최고의 척추 뼈 융합술이라고 여러 논문에 의해 증명되었습니다.



| 전통적 후방 척추유합술 (PLIF) | 전방접근 무수혈 척추유합술 (ALIF) | |
|---|---|---|
| 수술 후 신경유착 | 대부분 발생 (50% 이상) |
거의 없음 (5% 이하) |
| 피부흉터 | 15~20cm | 앞뒤 3~5cm |
| 입원기간 | 최소 2주 | 평균 1주 |
| 회복기간 | 수개월 | 수주 |
| 수술 후 요통 | 요통이 남는다 | 요통이 사라진다 |
| 수술 후 다리감각 | 다리 이상 감각이 잔존한다 | 다리가 편하다 |
| 스포츠 | 수술 후 어렵다 | 수술 후에 더 잘 할 수 있다 |


척추의 만곡이 40° 이상이거나 변형이 심해 일상생활이 어려울 경우, 외관상 보기 흉할 경우 척추가 더 휘는 것을 방지하고 균형 잡힌 척추를 만들어 주기 위한 수술입니다.


심하게 휘어져 있는 척추를 바로 세울 수 있는 고난이도 수술법으로 외과/흉부외과 전문의와의 협업을 통해 적은 출혈 및 단계적인 수술로 안전하게 수술할 수 있습니다.
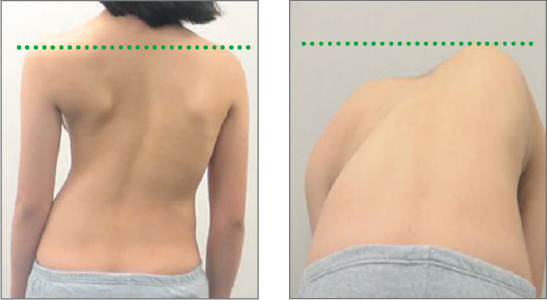
척추측만증이란
뒤에서 볼 때 척추가 ‘S’ 또는 ‘C’자로 휘어진 상태입니다.
얼마나 많나요
인구의 2~3%에서 관찰됩니다.
척추측만증의 자가진단
진단 기준
Cobb 각 10º 이상을 측만증으로 진단합니다.




이 시술의 장점은 무엇인가요?
31세 여성 골퍼 증례
원인치료가 필요한 경우
이 시술의 장점은 무엇인가요?
좌골 신경통을 호소해온 31세 여성의 증례
좌골 신경통을 호소해온 25세 여성의 증례
이 시술의 장점은 무엇인가요?
※ 의료진의 판단에 따라 수혈이 필요한 경우도 있습니다.
이 수술의 장점은 무엇인가요?
파열된 디스크 조각이 까맣게 신경 속으로 들어가 있다.
파열 파편만 없어지고 정상디스크 쿠션은 하얗게 보존되어 있다.
디스크 높이가 20년동안 그대로 유지된 모습
원인치료(수술)가 필요한 경우
이 수술의 장점은 무엇인가요?
※ 의료진의 판단에 따라 수혈이 필요한 경우도 있습니다.
65세 남성, 협착증 방치하다 목디스크까지 발병한 사례
척추인대재건술 84세 여성의 증례
이 수술의 장점은 무엇인가요?
※ 의료진의 판단에 따라 수혈이 필요한 경우도 있습니다.
35세/여 요추 4~5번 엉치 및 발목 통증
65세/남 등 · 허리 · 다리 통증


심한 퇴행, 외상, 감염 등으로 인해 뼈가 심하게 주저앉거나 신경을 압박하는 경우 하나 이상의 다분절에 대해 6단계의 수술을 시행하는 것
다분절 전방 경유 추체간 유합술, 척추체 제거술 및 고정술
수술을 통해 125°로 휘어진 척추를 70°로 교정 대체요법을 시술하다 측만증이 더 진행된 16세 여성의 증례
A
아닙니다. 무거운 가방, 나쁜 자세가 척추측만증의 원인으로 확인되지는 않았습니다.
다만 올바른 자세는 전반적인 척추 건강에 도움이 됩니다.
A
대부분은 원인을 정확히 알기 어려워 확실한 예방법이 없습니다.
그래서 조기 발견을 위한 정기 관찰이 중요합니다.
A
운동만으로 측만이 교정되거나 진행을 막기는 어렵습니다.
다만 근력·유연성 유지에는 도움이 될 수 있어 치료와 병행합니다.
A
어깨 높이 차이만으로 확정되진 않습니다.
전신 척추 X-ray로 Cobb 각을 측정해 10º 이상이면 측만증으로 진단합니다.
A
대개 25º~40º(성장기)에서 보조기를 시행합니다.
효과를 위해 하루 20시간 이상 착용이 권장됩니다.
A
목표는 “보조기를 착용한 상태에서 펴는 것”이 아니라,
보조기를 풀었을 때도 각도를 유지(진행 억제)하는 것입니다.
